Анатомичните увреждания на мениските, причинени от предишни заболявания, наранявания или неправилна структура на ставите, се наричат ​​дегенеративни промени. Подобна патология се открива по-често при мъже след 40-годишна възраст. Това се обяснява с факта, че мъжете са изложени на големи физически натоварвания през целия си живот. Това води до редовната поява на микротравми на коляното. Последните причиняват дегенеративни промени в колянната става.

Описание на заболяването

Коленните стави са отговорни за подвижността на долните крайници. Артикуларните хрущяли, разположени в тях, омекотяват вертикалните натоварвания върху ставата и я правят по-подвижна.

Хрущялът се представя в коленете от мениски. Те намаляват триенето на ставните повърхности, ограничават подвижността, не позволяват на елементите на ставата да надхвърлят физиологичните граници.

Всяко увреждане на менисци, получено в хода на човешкия живот, в крайна сметка може да доведе до развитие на дегенеративни промени.

Съществуват следните видове лезии:

  • Отделяне на менискуса в местата на прикачване.
  • Увреждане на тялото на хрущяла, разкъсване на рога.
  • Прекомерна подвижност на менискуса с увредени връзки.
  • Появата на кисти, съдържащи течност вътре в хрущяла.
  • Meniskopatiya.

Хрущялната плоча, разположена от външната страна на колянната става, е много по-подвижна от латералния менискус. Това обяснява факта, че дегенеративните промени я засягат много по-рядко.

Медиалният менискус е фиксиран в коляното от страничните лигаменти. Поради стегната фиксация най-често се откриват дегенеративни увреждания на медиалния менискус.

Причини за дистрофични промени в хрущяла

Най-големият риск от развитие на дистрофични промени в хрущяла в коляното е при хора, които се занимават професионално със спорт и танци. Този проблем възниква и при хамали.

Патологията най-често се развива поради наранявания, но може да се появи и поради следните причини:

  • Износване на възрастта на всички елементи на ставата.
  • Затлъстяване на всички степени.
  • Съпътстващи заболявания. Те включват ревматоиден артрит, остеоартрит и ревматизъм.
  • Инфекциозни заболявания, засягащи костните и хрущялните структури. Това е бруцелоза и туберкулоза.
  • Патология на съединителната тъкан.
  • Инфекции на кръвоносната система.
  • Прекомерно упражнение.
  • Плоски крака.
  • Нарушаване на метаболитните процеси.
  • Вродени малформации на ставните повърхности и връзки.

Според лекарите всяко неудобно движение може да причини дистрофични промени в менисци. Най-малкото разкъсване на лигаментите влияе върху фиксирането на хрущяла. Поради това относителното положение на ставните повърхности се променя и натоварването върху ставните конструкции се преразпределя. Всичко това в крайна сметка причинява муцинозна дегенерация на менискуса.

Симптоми на заболяването

Това заболяване се развива постепенно. С развитието му симптомите стават по-изразени и спирането му е по-трудно.

Когато менискусът се изражда, първо се появяват следните симптоми:

  • Хрускане в ставата по време на флексия.
  • Умора в коляното.
  • Болкови усещания с натоварвания по крака и след тях.

На този етап пациентът трябва да дойде при лекарите за помощ. Но това се случва много рядко. Повечето хора избират да игнорират неприятните симптоми, защото са краткотрайни.

Ако пациентът не получава лечение, тогава поради появата на структурни промени в ставите, симптомите се разширяват:

  • Има зачервяване на кожата и подуване в ставата.
  • Подвижността на крайник в увредено коляно е значително намалена.
  • От време на време се блокира фуга.
  • С развитието на менископатия ставата, напротив, става прекомерно подвижна.

Що се отнася до болката, те присъстват във всеки етап от развитието на болестта. Отначало болката е едва забележима, но с напредване на патологията и структурни промени в менисцитите се увеличава интензивността на синдрома на болката.

Болката може да измъчва пациента, докато той е в покой или докато се движи. Освен това в някои случаи болката се появява само когато се извършват определени действия, например, докато се изкачвате по стълби.

Тежестта на симптомите зависи и от естеството на увреждането. Най-силно се изразява при дегенеративни разкъсвания на менискуса.

Видове и степени на повреда

Съвременната медицина разграничава 2 степени на патология.

Първата степен на дегенеративни промени в медиалния менискус. Колянната става е леко ранена. Подуване и зачервяване се появяват на мястото на нараняване. Прекъсваща болка може да се появи в рамките на няколко дни. Въпреки това, всички симптоми отшумяват в рамките на няколко седмици.

Втората степен на увреждане се характеризира с пълно отделяне на един от роговете на менискуса. В този случай пациентът изпитва много силна болка. Ставната мобилност е силно ограничена. В някои случаи се наблюдава пълно запушване на коляното.

Отделянето на рога

Това е много тежка повреда. Развива се на фона на такива дегенеративни промени в задния рог на вътрешния менискус, като:

  • Омекотяване на хрущялната тъкан на фона на всяко заболяване на колянната става.
  • Появата в менискуса на кисти, съдържащи възпалителна течност.
  • Травми на лигаментите с частично отделяне на фасцията.

Дистрофичните трансформации, възникващи в рога на менискуса, могат да причинят нараняване по всяко време. При рязко изместване на менискуса изтънената тъкан на рога няма да стои и хрущялът ще се разкъсва. В същото време неговите фрагменти попадат в ставната кухина, където мигрират с всяко движение, причинявайки остра болка. Парчета от разкъсана задна част най-често причиняват пълно запушване на коляното.

Разкъсването на рога може да бъде надлъжно и косо:

  • Надлъжната се нарича пълно разделяне. Именно с него се образуват фрагменти от хрущялна тъкан, които блокират ставата.
  • Непълното разделяне се нарича косо. Като правило той преминава по линията на свързване на тялото на медиалния менискус с рога. Нараняването е придружено от пукнатина и силна болка. Но неговата интензивност е по-ниска, отколкото при надлъжно разделяне.

Увреждането на задния менискус може да се комбинира. В този случай дегенеративните промени обхващат всички повърхности и равнини на ставата.

Предна рога Сълза

Механизмът на увреждане на предния рог е различен от травма до заден рог. Всичко е в посоката на движение, водеща до счупване. Той има обратна посока.

Сълзата на предния рог обикновено се открива в детството. Освен това подобно нараняване рядко причинява запушване на колянната става.

С разкъсване на страничния рог се появяват следните симптоми:

  • Пациентът изпитва болка в областта на перонеалния лигамент.
  • Развива се синовит.
  • Мускулният тонус на предното бедро намалява.
  • Подвижността на коленете е ограничена. Ако се опитате да огънете коляното със сила, тогава възниква синдром на ярка болка.

Симптоматологията на нараняването е по-слабо изразена, отколкото при отделянето на предния рог. Пациентът може сам да възстанови подвижността на крайника. Болката е непостоянна. Поради това е много трудно веднага да се идентифицира естеството на щетите.

При силно разкъсване на страничния рог може да възникне кръвоизлив в ставната кухина. Това по правило води до пълно разкъсване на хрущяла с образуването на фрагмент, което прави движенията в ставата невъзможни.

диагноза

При тежки наранявания лекарите не изискват използването на специални инструменти за поставяне на точна диагноза в 90% от случаите. Достатъчно е да се запознаете със симптомите и да видите фиксирането на колянната става в характерно положение.

Лекарите прибягват до инструментални методи за изследване в случаите, когато смазаните симптоми не позволяват да се определи естеството на дистрофичните промени в ставата.

Най-често прибягват до следните видове изследвания:

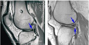
  • MR. Това е най-важният диагностичен метод за определяне на степента на увреждане.
  • Рентгенография. Снимките се правят в пряка и странична проекция. Това е груба диагноза, така че се използва за първоначална диагноза в травматологичните центрове.
  • САЩ. Използва се за идентифициране на огнища на възпаление и кухи образувания, съдържащи течност.
  • Компютърна томография Добър метод за откриване на промени в тъканите на всяка дълбочина. Резолюцията му обаче не е достатъчна за използване в класификацията на Stoller.
  • Артроскопия. Инвазивен метод, който ви позволява да погледнете вътре в колянната става.

За да се улесни диагнозата на ЯМР, лекарите използват класификацията на увреждане на менискуса на Столер. Тази класификация е кръстена на нейния разработчик Дейвид Столър.

Основната класификация според Столер е критериите за тежестта и степента на увреждане на менискусната тъкан. Лекарят разкрива степента на дегенерация на хрущяла от разпространението на сигнала, промяната в неговата интензивност и местоположението на промените.

Според тази класификация има 4 степени на повреда:

  • Нулева степен. По време на изследването лекарят не вижда промени в хрущяла. Платовете са в добро състояние.
  • Първа степен. ЯМР разкрива сигнал с повишена интензивност, но фокусът му не е в контакт с повърхността на хрущяла.
  • Втора степен. По време на изследването се открива мощен линеен сигнал. Все още не докосва повърхността на менискуса, което означава поддържане на неговата анатомична структура. Няма пълно разкъсване на тъканта, но нейната цялост е нарушена.
  • Трета степен. Силата на сигнала значително се увеличава. Той достига до повърхността на менискуса. Това означава, че структурата на хрущялната тъкан е нарушена. Възможно е пълно отделяне на менискуса с офсет.

Класификацията на Stoller се прилага само при използване на магнитен резонанс. Опростява разработването на тактики на лечение.

Патологично лечение

В зависимост от степента на увреждане на хрущяла в коляното, лекарите предписват консервативно или хирургично лечение.

В ранните етапи лекарите могат да фиксират ставата с помощта на шина или специален ортопедичен апарат. Такива действия могат да намалят натоварването на коляното.

При синовит излишната течност се евакуира от ставата чрез пункция. След това ставната кухина се измива със специални средства.

С лека дегенерация на хрущяла, на пациента се предписват следните групи лекарства:

  • Нестероидно противовъзпалително лекарство с аналгетични свойства. Това са Диклофенак, Ибупрофен и др.
  • Стероидни лекарства. Предписват се при ревматизъм. Те дават много бърз ефект. Лекарствата от тази група включват: Хидрокортизон, Дипроспан.
  • Хондропротектори. Те са необходими за възстановяване на хрущяла.

Медикаментът се допълва от физиотерапевтични процедури. Говорим за електрофореза, ултразвукова терапия и приложения с парафин.

При тежко увреждане на менискуса хирургичното лечение е задължително. За да възстановят функциите на ставите, лекарите могат да зашият увредената зона на хрущялната плоча, да премахнат фрагментите от рога и напълно да заменят повредения менискус с изкуствен.

Категория: